





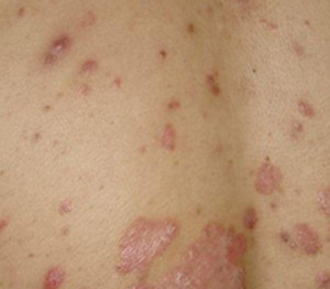
诱发牛皮癣的因素牛皮癣的临床特征表现为红色丘疹或斑块覆有多层银白色鳞屑,有明显的季节性,多数患者病情春季,冬季加重,夏季缓解。男性发病性高于女性,城市多于农村,初发年龄男性常见为20-40岁,女性常见为15-40岁。近下年牛皮癣的发病率有上升的趋势,与工业的污染和工作的环境有关,扬州京城皮肤病研究所专家认为诱发牛皮癣的因素有以下几个方面:

1、感染
是引起牛皮癣发病的主要诱发原因之一,特别是儿童患者。据报道,牛皮癣患者中,患慢性扁桃体炎者占90%以上,继扁桃体急性炎症后发生牛皮癣的患者占50%,儿童牛皮癣患者常伴有上呼吸道感染和扁桃体炎,牛皮癣患者受到链球菌感染后病情常可迅速恶化,应用抗生素治疗后牛皮癣常可减轻,可见上呼吸道感染和扁桃体炎与牛皮癣有一定关系,可能是机体对细菌的毒素产生的变态反应。
2、免疫功能紊乱
免疫学研究证实,牛皮癣患者体液免疫紊乱,患者血中T抑制细胞明显下降,T辅助细胞升高,细胞免疫功能偏低,淋巴细胞转化率和自然花瓣形成率降低,皮肤迟发性超敏反应试验减弱,另据报道,在牛皮癣皮损部位的浸润细胞中主要为T细胞,这些细胞表面HLA-DR及LL-2受体表达,可分泌一些细胞因子,受这些因子作用,可引发皮损区角朊细胞发生一系列代谢异常,引起牛皮癣皮损发生。
3、代谢障碍
牛皮癣的重要病理生理学变化是表皮细胞增殖加速,使表皮细胞更替时间缩短,正常表皮细胞更替时间为26-28天,而牛皮癣皮损的更替时间则为3-4天,因而表皮细胞的成熟受到干扰,导致表皮组织学、系列化和角化的紊乱,产生银白色鳞屑等一系列病理现象。
4、内分泌机能障碍
临床研究发现,女性患者与月经期及妊娠期有关,多数患者月经期及妊娠期好转,皮损好转多发生在怀孕后的3-6个月以内,而分娩后大部分患者病情加重,这可能与妊娠期皮质类固醇激素分泌增加有关。
5、精神因素
皮肤是人类内部心理活动的表达器官之一,精神过度紧张是牛皮癣发病和病情恶化的一个不可忽视的诱因,由于过度精神紧张、性情急噪、情绪郁闷、烦躁失眠等精神因素做诱因,占其他所有诱因之首,资料显示,约占20%。精神过度紧张,产生一系列心理或生理反应,促发内分泌紊乱,损害机体的免疫防御系统以及酶的代谢紊乱,从而促进了牛皮癣的发生,临床实践中经常遇到这种情况,牛皮癣患者已治愈多年未复发,由于受到巨大的精神刺激,如亲人亡故、打架斗殴等使患者过度精神紧张,继而出现失眠多梦,心烦意乱,而后自觉燥热,瘙痒,出现牛皮癣皮损,这种情况在临床工作中屡见不鲜。
6、外伤
牛皮癣皮损发生于外伤之后的现象很常见,如碰伤、注射、虫咬、烧伤烫伤及骚抓等。这些刺激均可引起皮肤损伤,继而诱发牛皮癣的发生。
7、其他
如过敏、寒冷、潮湿、气候干燥高温等也是牛皮癣常见的诱发原因。
“K-P牛皮癣康复标准化工程”之 中西结合五联一体消银体系
集合了采用靶向定位铲除表皮病毒即药物治疗+中药熏蒸+第二代美国xtrac-308准分子紫外光治疗系统三管齐下的效果,有效作用于脏腑,祛除血液毒素,改善血液质量,直接达到病灶部位,彻底铲除致病源;促进皮肤组织再生、恢复患处营养供给、重建皮肤组织生态环境从而达到多管齐下标本兼治,一旦治愈就不易复发的目的,此疗法适应人群广,一般牛皮癣患者及久治不愈、反复复发的患者效果都比较好。
温馨提示:诱发牛皮癣的因素如果您想了解相关信息,可拨打免费热线电话0514-82198888,由专家在线为您解答相关疾病问题,根据您的情况给予针对性的指导意见,提供更为精确的治疗方案,并严格保密。我院全体医护人员竭诚为您服务,祝您早日康复。