如何判断牛皮癣
如何判断牛皮癣?说到牛皮癣大家都有一种比较惧怕的心情,那么为什么大家都有这样的表情呢?牛皮癣有很多类型,那么这种类型要怎么判断呢?
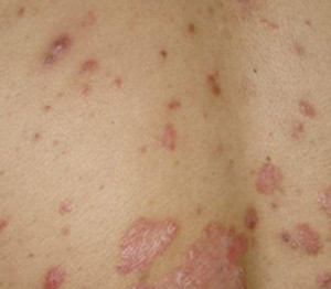
扬州京城皮肤病研究所讲解各类型牛皮癣的判别:红皮病型:临床表现为剥脱性皮炎。初起时原有皮损部位出现潮红,逐步扩展,最终全身皮损呈弥漫性赤色,暗赤色,肌肤外表附有很多麸皮样鳞屑,银白色鳞屑及点状出血表象不见。

如何判断牛皮癣?牛皮癣的类型有哪些?
寻常型牛皮癣:
皮损呈点滴状或上履云母状银白色鳞屑,去掉鳞屑有淡赤色通明发亮薄膜,轻刮薄膜有出血点,云母状银白色鳞屑,薄膜现和点状出血是寻常型牛皮癣的临床特征,它根据病况发展阶段的不同分为进行期、停止期和衰退期。
红皮病型牛皮癣:
临床表现为剥脱性皮炎。初起时原有皮损部位出现潮红,逐步扩展,最终全身皮损呈弥漫性赤色,暗赤色,肌肤外表附有很多麸皮样鳞屑,银白色鳞屑及点状出血表象不见。
关节病型牛皮癣:
有牛皮癣危害之外,一起发作类风湿性关节炎表现,而类风湿因子阴性,关节表现与肌肤表现一起减轻或加重,皮损表现为阶段性散布的蛎光状银屑病并伴指(趾甲)改动,如点状凹陷,条状纵形色素冷静,甲混浊变形,别离等。
脓疱型牛皮癣:
分泛发性脓疱型牛皮癣和限局性牛皮癣肌肤边际发作散在或较密布针头至粟粒巨细无菌性浅表脓疱,可交融,根据发病急缓分急性和亚急性或缓慢,实验室查看脓疱内容,细菌培养阴性,白细胞增高,分类中性细胞添加。
“K-P牛皮癣康复标准化工程”之汽疗联合生物基因免疫自体修复(针对群体:儿童、老人、身体虚弱者)
从源头杜绝血毒问题,有效根除脏毒,保证洁净的血液进入血管;修复机体细胞破损基因;调整机体免疫功能;抑制病变部位角朊细胞分裂;控制病变部位鳞屑增生;使病变组织细胞得以恢复正常代谢功能;纠正免疫缺陷,直击银屑病根源,清热解毒、燥湿止痒、抗菌消炎、活血行气,直至完全治愈,彻底解决了牛皮癣复发的难题。
温馨提示:扬州京城皮肤病研究所专家对“如何判断牛皮癣”的介绍就到这里,希望本文的介绍会对您有所帮助。综上所述头部牛皮癣患者要及时有效的治疗,并且配合日常的护理保健,争取尽早恢复健康,如果您还有其他的疑问可以点击在线专家咨询,祝您早日恢复健康!
电话快捷咨询
预约咨询